Ghidul Serviciilor
Asistenta Medicala - Radiologie
inapoi la lista
Excelent Rx, Centrul de Radiologie Stomatologica Digitala Bucuresti
Foto
Video
Harta
Despre noi
 
Radiologie stomatologica digitala, radiografii retroalveolare, teleradiografii, radiografii ATM, radiografii maini, sinusuri, analize computerizate cefalometrice
Foto
Foto
Foto
Foto
Foto
Foto
Foto
...
Inchide
Str. Barbu Vacarescu nr. 81, sector 2,
0212107366
0728763943
Email: office@excelentrx.ro
Web: www.excelentrx.ro
Orar: L-V: 8,30-20; S: 9-13
Produse/servicii
 
Sediu Bucuresti
Radiografii stomatologice mari,mici,radi ..
 
Sediu Bucuresti
Radiografii stomatologice mari,mici,radi ..
 
Radiografia mainii
Radiografia de mana (pumn) evidentiaza s ..
 
Ortopantomograma (OPG) / Panoramic X-Ray
Ortopantomogramareprezinta un examen rad ..
 
Radiografia A.T.M./ TMJ X-Ray
– dreapta cu gura inchisa cu gura desch ..
 
Radiografia de sinusuri/ Synus X-Ray
Radiografia de sinusuri anterioare front ..
 
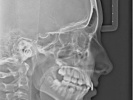
Teleradiografie / Cephalometric X-Ray
Teleradiografie / Cephalometric X-Ray – ..
 
Radiografii retroalveolare
Radiografii retroalveolare (Individual P ..
 
Radiografie retroalveolara interproximala x4
Radiografie retroalveolara interproximal ..
 
 
 
 
 
Mobil   |   Web   |   Anuntul Telefonic
Copyright © GHIDUL SERVICIILOR 2026
Prin utilizarea serviciilor noastre, iti exprimi acordul cu privire la faptul ca folosim module cookie in vederea analizarii traficului si a furnizarii de publicitate.