Ghidul Serviciilor
Dr. Zaharia Paul -Cabinet Stomatologic - Timisoara
inapoi la firma 106 vizite
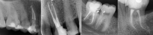
Poza Endodontie
Foto

Date generale despre endodontie

Endodontia este ramura stomatologiei care se ocupă cu tratamentul partii dintelui (radacina) care nu este vizibila in cavitatea bucala. Tratamentul de endodontie al unui dinte este o etapa din cadrul unui intreg proces, al carui scop este salvarea si pastrarea dintelui in cavitatea bucala. Este bine de stiut ca fiecare dinte prezinta o anatomie specifica. Pot avea 1-3 radacini si 1-4 canale. Molarii de minte intotdeauna sunt atipici; nu se stie cate canale poate avea sau daca sunt operabile in totalitate. Foarte rar se poate aplica tratamentul endodontic molarilor de minte. Teoretic ei sunt ”neendodontici”.

Tratamentul de endodontie are numeroase indicatii, printre care:

Procedurile de endodontie pe care le utilizam

In tratamentul endodontic folosim sistemul de izolare, diga, sistem care impiedica trecerea substantelor utilizate pentru dezinfectarea radacinii dintelui in cavitatea bucala si care pastreaza un camp de lucru curat, fara infectarea acestuia cu alte bacterii. Diga este singura bariera care protejeaza, in timpul tratamentului de endodontie, infectarea dintelui cu microorganismele din cavitatea bucala si protejeaza pacientul de contactul cu substantele folosite pentru curatarea canalelor, substante care au un gust neplacut si pot produce iritatii.

De ce la noi

Succesul unui tratament de endodontie consta in dezinfectia foarte riguroasa a canalelor dintelui si obturarea acestora in mod tridimensional, lucru pe care echipa noastra il efectueaza cu atentie si rabdare. Un alt aspect caruia trebuie sa i se acorde un interes deosebit, pentru ca tratamentul de endodontie sa aiba cele mai bune rezultate, vizibile in timp, este tipul de materiale utilizate. De aceea, folosim materiale 100% biologice, care nu dau coloratii in timp dintelui, pe care le combinam cu cele mai bune tehnici moderne in prepararea canalului. Alaturi de acestea, ne recomanda si sistemul pe care il utilizam in obturarea canalelor, si anume sistemul de obturare tridimensional, recunoscut pentru faptul ca realizeaza o sigilare mai eficienta, in comparatie cu sistemele clasice.

Mobil   |   Web   |   Anuntul Telefonic
Copyright © GHIDUL SERVICIILOR 2026
Prin utilizarea serviciilor noastre, iti exprimi acordul cu privire la faptul ca folosim module cookie in vederea analizarii traficului si a furnizarii de publicitate.