Ghidul Serviciilor
Dr. Zaharia Paul -Cabinet Stomatologic - Timisoara
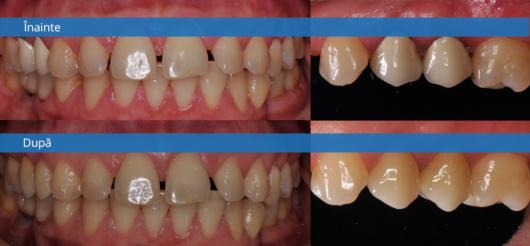
inapoi la firma 107 vizite
Poza Protetica dentara
Foto

Date generale despre protetica

Protetica este ramura stomatologiei care se ocupa cu inlocuirea dintilor pierduti sau, cu ajutorul coroanelor protetice, mentinerea dintilor tratati endodontic. Odata cu tratamentul endodontic aplicat unui dinte, rezistenta lui este scazuta si devine casant. Din aceasta cauza, este recomandata aplicarea unei coroane protetice peste coroana clinica a dintelui. In cazul in care lipsesc dinti, se realizeaza punti dentare alcatuite din coroanele dintilor absenti si coroanele care vor fi cimentate pe dintii stalpi (dintii naturali slefuiti). O alta subramura stomatologica ce apartine de protetica este reprezentata de realizarea coroanelor pe implanturi. Dupa vindecarea completa a implantului propriu-zis (aproximativ 6 luni), se realizeaza coroana definitiva. Aceasta coroana se realizeaza in asa fel incat sa fie identica cu coroana dintelui natural, atat din punct de vedere estetic, cat si functional.

Procedurile de protetica utilizate in cabinetul nostru

Intotdeauna preferam protetica pe implanturi in detrimentul proteticii clasice, in care se slefuiesc dintii naturali. Slefuirea dintilor naturali nu este singurul argument contra proteticii clasice, ci si faptul ca dintii absenti inlocuiti in protezarea clasica au sprijin pe gingie sau in aer. Cu timpul, osul se retrage si sprijinul va ramane in aer.

De ce la noi

Suntem de parere ca intr-un cabinet stomatologic tehnicile de protetica utilizate trebuie sa reflecte iscusinta si imaginatia medicului stomatolog. Motiv pentru care, in privinta fiecarei lucrari in parte, incercam sa gasim solutiile personalizate. De asemenea, prin anumite tehnici digitale (Digital Smile Design) ne permitem ca, in urma analizei preferintelor si necesitatilor pacientului, sa realizam simularea viitoarei lucrari protetice. Astfel, veti vedea, inainte de a porni procedurile de protetica, daca viitoarele rezultate se pliaza pe cerintele dumneavoastra. Pe langa acestea, in realizarea lucrarilor de protetica, ne recomanda:

Mobil   |   Web   |   Anuntul Telefonic
Copyright © GHIDUL SERVICIILOR 2026
Prin utilizarea serviciilor noastre, iti exprimi acordul cu privire la faptul ca folosim module cookie in vederea analizarii traficului si a furnizarii de publicitate.