Ghidul Serviciilor
Clinica Stomatologica Dental Diamonds Studio
inapoi la firma 604 vizite
Poza Tratamente stomatologice
Foto
Foto
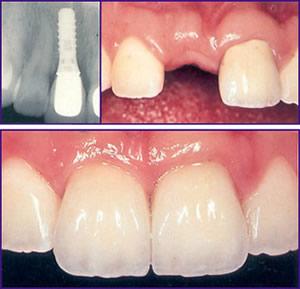
* Implanturi dentare; * Lifting de sinus maxilar; * Grefa osoasa si aditie biomateriale cu propietati regenerative; * Interventii chirurgicale parodontale cu lambou; * Chiuretaje radiculare; * Chirurgia plastica a rozului gingival (gingivectomie, gingivoalveoloplastie); * Extractii dentare plastice; * Chirurgia periradiculara (rezectie apicala, amputatii radiculare).
Mobil   |   Web   |   Anuntul Telefonic
Copyright © GHIDUL SERVICIILOR 2026
Prin utilizarea serviciilor noastre, iti exprimi acordul cu privire la faptul ca folosim module cookie in vederea analizarii traficului si a furnizarii de publicitate.