Ghidul Serviciilor
Clinica Stomatologica Dental Diamonds Studio
inapoi la firma 604 vizite
Poza Tratamente stomatologice
Foto
Foto
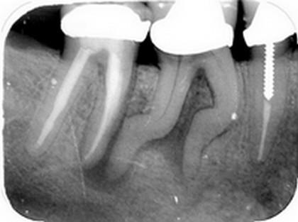
* Indepartarea tesutului vasculo-nervos (viu sau necrotic) din interiorul dintelui sau indepartarea unei obturatii de canal incorecte; * Dezinfectarea canalului radicular; * Largirea mecanica a canalului radicular; * Obturatia canalului radicular (umplerea si sigilarea canalului radicular cu gutaperca si pasta pentru sigilat); * Reconstituirea corono radiculara (metalica sau cu pivot din fibra de sticla).
Mobil   |   Web   |   Anuntul Telefonic
Copyright © GHIDUL SERVICIILOR 2026
Prin utilizarea serviciilor noastre, iti exprimi acordul cu privire la faptul ca folosim module cookie in vederea analizarii traficului si a furnizarii de publicitate.