Ghidul Serviciilor
Family Dental Clinic - Clinica Stomatologica Bucuresti
inapoi la firma 237 vizite
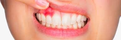
Poza Parodontologie
Foto
Foto

Boala parodontala, cunoscuta si sub denumirea de parodontoza, este o afectiune inflamatorie care afecteaza tesuturile de suport ale dintelui. Acest lucru include gingia, osul si ligamentul periodontal. Începe adesea cu simptome usoare, care pot fi usor ignorate, cum ar fi inflamatia gingiei sau sângerarea ocazionala în timpul periajului. Cu toate acestea, daca nu este tratata, poate avansa, ducând la probleme mai serioase, cum ar fi pierderea dintilor.

Cauze si simptomeCe declanseaza boala parodontala

Principalele cauze ale bolii parodontale includ acumularea de placi bacteriene si formarea tartrului, care pot duce la inflamatii si infectii. Factori precum igiena orala deficitara, fumatul, diabetul si predispozitia genetica pot creste riscul de dezvoltare a acestei afectiuni.

Simptome de luat în seama

 

Tratamentul modern cu laser în Bucuresti

La Famdent din Bucuresti, folosim tehnologia laser de ultima ora pentru a trata boala parodontala cu precizie si eficacitate crescuta. Tratamentul cu laser permite o vindecare rapida si minim invaziva, reducând disconfortul si timpul de recuperare.

Beneficiile tratamentului cu laser

Preventia: Cheia pentru o sanatate orala de durata

Mentinerea unei igiene orale bune este esentiala pentru prevenirea bolii parodontale. Controlul dentar regulat, tehnicile corecte de periaj si folosirea atei dentare, precum si renuntarea la fumat pot reduce semnificativ riscul. La Famdent, ne dedicam sa te ghidam prin masuri preventive si sa îti oferim îngrijire personalizata pentru a-ti pastra zâmbetul sanatos si stralucitor.

Pasul catre un zâmbet sanatos

Îti doresti sa previi sau sa tratezi boala parodontala? Echipa noastra de specialisti este aici pentru a-ti oferi cele mai eficiente solutii. Contacteaza Famdent din Bucuresti pentru o consultatie si începe calatoria catre sanatatea orala optima.

Mobil   |   Web   |   Anuntul Telefonic
Copyright © GHIDUL SERVICIILOR 2026
Prin utilizarea serviciilor noastre, iti exprimi acordul cu privire la faptul ca folosim module cookie in vederea analizarii traficului si a furnizarii de publicitate.