Ghidul Serviciilor
Light Dental Clinic - Clinica Stomatologica Bucuresti
inapoi la firma 27 vizite
Poza Stomatologie laser
Foto

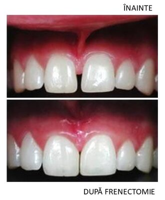
Frenectomia este o interventie chirurgicala prin care se sectioneaza/inlatura frenul (un tesut precum ata) care leaga buza inferioara sau superioara de gingie. De asemenea, mai exista un fren sublingual.

In situatia in care acest tesut este pozitionat prea aproape de dinti apar retractii gingivale, dar este afectata si pozitia dintilor.

Indepartarea frenului cu ajutorul laserului este cea mai buna optiune medicala, in special pentru copiii care sufera de fren lingual fibros (limba legata), rezolvandu-se astfel anumite probleme de vorbire, dar si pentru bebelusii care nu se pot hrani corespunzator de la san din cauza miscarii limitate a limbii.

Realizarea frenectomiei cu ajutorul laserului se deruleaza rapid, este nedureroasa, fara cicatrici, fara sangerare.

Mobil   |   Web   |   Anuntul Telefonic
Copyright © GHIDUL SERVICIILOR 2026
Prin utilizarea serviciilor noastre, iti exprimi acordul cu privire la faptul ca folosim module cookie in vederea analizarii traficului si a furnizarii de publicitate.