Ghidul Serviciilor
Prodent Clinic -Clinica Stomatologica-Bucuresti
inapoi la firma 694 vizite
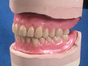
Poza Proteze dentare
Foto

Protezele dentare sunt aparate mobile care pot inlocui lipsa dintilor, ajutand astfel si la restabilirea zambetului dumneavoastra. Daca v-ati pierdut toti dintii naturali, fie din cauza bolilor gingivale, a cariilor sau din cauza unui accident, o proteza dentara poate reda aspectul placut al zambetului si sanatatea orala. De asemenea, proteza dentara va poate ajuta sa mancati si sa vorbiti mult mai usor decat daca ati avea dinti lipsa. Cand va pierdeti toti dintii, muschii faciali se pot schimba si va ofera un aspect mai imbatranit al fetei. Protezele dentare pot ajuta insa la completarea profilului si aspectului facial. Ele pot fi construite astfel incat sa semene cu dintii naturali iar noua dantura nu va avea o imagine artificiala.

Tipuri de proteze dentare: • Proteza conventionala – Este o proteza integrala detasabila ce se plaseaza in gura dupa ce dintii sunt extrasi si tesuturile sunt vindecate. Vindecarea, insa, poate dura cateva luni, timp in care pacientul nu va avea dantura. • Proteza imediata – Proteza integrala imediata se plaseaza in gura imediat dupa scoaterea dintilor. Acest lucru se face, evident, dupa ce stomatologul masoara maxilarul, pentru a face un mulaj perfect al protezei. Calitatea cea mai mare a acestei proteze imediate este faptul ca nu ramaneti fara dantura pentru mult timp, insa proteza va trebui refacuta dupa ce maxilarul se vindeca, deoarece pe masura ce osul se regenereaza proteza isi pierde stabilitatea. • Proteza partiala – Aceasta proteza va avea ca suport un cadru metalic stabilit pe dintii naturali care au ramas in cavitatea bucala. Uneori, unii dinti pot fi salvati pentru a pastra osul maxilar si pentru a oferi stablitate si sprijin pentru proteza. Acest tip de proteze reprezinta o buna alternativa mobila a puntilor dentare.

Cum se pastreaza si se curata proteza dentara? La fel ca si dintii naturali, protezele dentare trebuie periate zilnic, pentru a indeparta particulele alimentare si placa bacteriana. Perierea ajuta, de asemenea, la pastrarea unei straluciri si mentine proteza departe de eventualele pete. Clatiti proteza bine inainte de periere, pentru a elimina orice rest de alimente. Utilizati o periuta de dinti cu peri moi si o pasta de curatare non-abraziva care sa spele cu grija toate suprafetele protezei dentare, astfel incat sa nu zgarie. Atunci cand va spalati, curatati bine gura, inclusiv gingiile, limba, obrajii si cerul gurii, pentru a elimina placa dentara. Ocazional, purtatorii de proteze dentare pot folosi adeziv care pot fi sub diverse forme: crema, pudra, lichid sau banda. Medicul dentist va poate recomanda cel mai potrivit adeziv pentru proteza dumneavoastra. Daca aveti orice alte intrebari legate de protezele dentare, cel mai bine este sa intrebati stomatologul si asigurati-va sa efectuati controale medicale regulat pentru a mentine o sanatate orala buna!

Sfaturi pentru ingrijirea protezei dentare

 – Se recomanda evitarea uzarii protezei. Astfel, cand aceasta nu se poarta (in general in timpul somnului), trebuie pastarata intr-un pahar cu apa. Nu trebuie utilizata apa calda deoarce aceasta poate deforma proteza

–  Este importanta perierea in fiecare zi a protezei pentru ca resturile alimentare sa fie inlatura, iar placa bacteriana sa fie impiedicata.

–  In cazul in care aceasta se deterioreaza din diferie motive, pacientul trebuie sa se adrese stomatologului. Trebuie evitata repararea acesteia de unul singur, pentru a nu aduce prejudicii mai grave

 

Mobil   |   Web   |   Anuntul Telefonic
Copyright © GHIDUL SERVICIILOR 2026
Prin utilizarea serviciilor noastre, iti exprimi acordul cu privire la faptul ca folosim module cookie in vederea analizarii traficului si a furnizarii de publicitate.