Ghidul Serviciilor
Smile Avenue - Centru Stomatologic, Popesti-Leordeni
inapoi la firma 152 vizite
Poza Protetica dentara
Foto
Foto

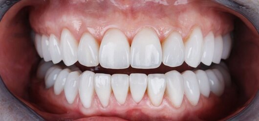
Coroanele din zirconiu sunt ideale pentru restaurarea tuturor dintilor, inclusiv a celor din fata, deoarece ofera un zâmbet estetic si durabil. Zirconiul este un material modern care are proprietati similare cu titanul - ingredientul de baza al implanturilor dentare.

Odata cu inventarea zirconiului, stomatologia moderna a fost revolutionata. Este un material care ofera o rezistenta exceptionala si calitati estetice exceptionale, ceea ce îl face sa fie utilizat pe scara larga în cabinetele stomatologice de astazi de catre medici, fatetele sau coroanele fiind realizate din acest element uimitor rapid si usor.

Cât de rezistenta este o coroana de zirconiu în comparatie cu cea din metalo-ceramica?

Coroanele, puntile din zirconiu si cele metalo-ceramice sunt la fel de rezistente, durabile. Zirconiul este mai putin fragil decât portelanul, iar în comparatie cu metalul, flexibilitatea este mai mica.

Avantajele coroanelor din zircnoiu

Mobil   |   Web   |   Anuntul Telefonic
Copyright © GHIDUL SERVICIILOR 2026
Prin utilizarea serviciilor noastre, iti exprimi acordul cu privire la faptul ca folosim module cookie in vederea analizarii traficului si a furnizarii de publicitate.